Férula para bruxismo
- 17 ene 2023
- 2 Min. de lectura
¿Qué es el bruxismo? El bruxismo es una actividad parafuncional, esto significa que son movimientos mandibulares que no tienen ningún propósito funcional (opuesto a movimientos funcionales como comer o hablar).
Entre los signos más evidentes que encontramos en pacientes que bruxan son los siguientes:
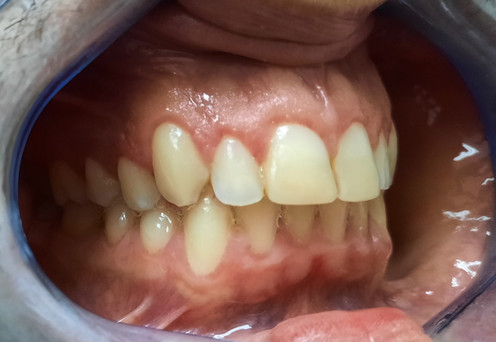
Desgaste en las piezas dentales (como se puede observar en el colmillo superior de la primera imagen mostrada abajo, los colmillos normalmente tienen una cúspide, la cuál se ve como una proyección puntiaguda, en este caso, en este paciente, podemos ver que esa cúspide se ha desgastado).
Dolor en la ATM: Esto es la articulación temporomandibular (es la unión de la mandíbula con el resto de nuestra cabeza), la cuál se ve afectada cuando se está sobre esforzando con los movimientos involuntarios ocasionados por el bruxismo.
Dolor muscular: Ocasionada por la misma razón, por los movimientos constantes, involuntarios que ocasiona el bruxismo.
Tenemos bruxismo que se puede evidenciar de dos formas, ya sea apretando o rechinando los dientes superiores contra los inferiores de manera involuntaria.
¿Qué detona el bruxismo? Todavía no existe, a ciencia cierta, una razón por la que se de, sin embargo, se ve normalmente exacerbado por el estrés. Así que el control del estrés debería ser una parte importante del tratamiento. Cada persona es diferente, por lo que este manejo se debe de dar de forma individualizada.
A su vez, las férulas para bruxismo, como la mostrada en las dos últimas imágenes superiores pueden ser de gran ayuda para las repercusiones que representa padecer de bruxismo. La férula va a lograr evitar ese desgaste de las piezas dentales y relajar los músculos por el grosor que tiene. Hay diferentes tipos de férula, pero en estos casos, se recomienda una férula rígida con su respectivo grosor.
Por lo que, a manera de conclusión, siempre es recomendable, una visita con el o la odontóloga, para diagnosticar el bruxismo y confeccionar una férula de ser necesario para ayudar con este proceso.











Comentarios